化脓储珀菌、猪红斑丹毒丝菌和产单核细胞李斯特菌形态及生化反应
来源:武汉市灰藻生物科技有限公司 浏览量:157 发布时间:2026-03-28 20:39:32
一、储珀菌属与化脓储珀菌(T. pyogenes)
储珀菌属分为5个种,其中化脓储珀菌(T. pyogenes,原名化脓隐秘杆菌)和伯尔德储珀菌(T. bernardiae,原名伯尔德隐秘杆菌)两个种能在人类临床标本中分离到。
化脓储珀菌(T. pyogenes)
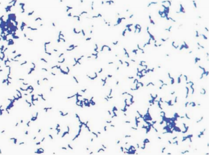
(一)化脓储珀菌形态与染色
革兰阳性,呈多形性、棒形,有时呈颗粒状和念珠状,类似小链球菌。无鞭毛,无抗酸性(图 1)。

图 1化脓储珀菌纯培养的镜下形态(革兰染色)
(二)化脓储珀菌培养特性
在CO₂环境下生长良好。在血琼脂平板上35℃培养18~24h,形成直径为0.1~0.4mm的白色小菌落,48h后形成直径约为1mm、有狭窄β溶血环的菌落(图 2)。

图 2 化脓储珀菌在血琼脂平板上的菌落特征(48h)
(三)化脓储珀菌生化反应
触酶试验阴性,主要生化反应见表 1。
| 试验 | 结果 | 试验 | 结果 |
|---|---|---|---|
| 触酶 | – | 葡萄糖 | + |
| 氧化/发酵 | F | 麦芽糖 | V |
| 硝酸盐 | – | 蔗糖 | V |
| 脲酶 | – | 甘露醇 | V |
| 七叶苷 | V | 木糖 | + |
注:+,90%以上菌株阳性;–,90%以上菌株阴性;V,11%~89%菌株阳性;F,发酵
无动力。化脓储珀菌是一种革兰染色时着色不稳定的细菌,这一点和链球菌相似。
(四)化脓储珀菌鉴别要点
1. 本菌特征:革兰阳性多形性杆菌,菌落较小、白色,有狭窄的β溶血环,硝酸盐和触酶试验阴性。
2. 与溶血隐秘杆菌的鉴别:化脓储珀菌分解木糖,溶血隐秘杆菌相反。
3. 与伯尔德储珀菌的鉴别:见表 2。
| 种类 | 触酶 | 葡萄糖 | 麦芽糖 | 甘露醇 | 木糖 |
|---|---|---|---|---|---|
| 化脓储珀菌 | – | + | V | V | + |
| 伯尔德储珀菌 | – | + | + | – | – |
注:+,90%以上菌株阳性;–,90%以上菌株阴性;V,11%~89%菌株阳性
4. 与骚动厄氏菌的鉴别:化脓储珀菌触酶试验阴性,而骚动厄氏菌则相反。
(五)化脓储珀菌药敏试验的药物种类选择
储珀菌属药敏试验的药物种类选择依据见表 3。
| 抗菌药物名称 | |
|---|---|
| 必选 | 青霉素、庆大霉素、红霉素、万古霉素 |
| 可选 | 头孢吡肟、头孢噻肟、头孢曲松、美罗培南、达托霉素、环丙沙星、多西环素、四环素、克林霉素、复方磺胺甲噁唑、利福平、利奈唑胺、奎奴普丁-达福普汀 |
注:上述药敏试验所选药物仅有MIC判读折点,具体参照CLSI M45 - A3文件
(六)化脓储珀菌结果解释与要点提示
化脓储珀菌可引起脓肿、乳腺炎、子宫炎、肺炎、伤口或软组织感染和菌血症等。所有菌株对β-内酰胺类、利福平、四环素和大环内酯类敏感,对氨基糖苷类、喹诺酮类的敏感性有所下降。
二、丹毒丝菌属与猪红斑丹毒丝菌(E. rhusiopathiae)
目前属内有3个种,猪红斑丹毒丝菌(E. rhusiopathiae)、扁桃体丹毒丝菌(E. tonsillarum)和意外丹毒丝菌(E. inopinata)。仅猪红斑丹毒丝菌与人类疾病有关。
猪红斑丹毒丝菌(E. rhusiopathiae)
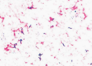
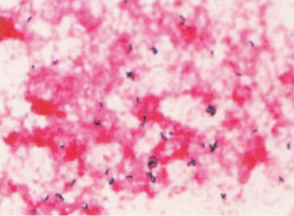
(一)猪红斑丹毒丝菌形态与染色
革兰阳性杆菌,菌体细长、长短不一,有时呈丝形,单独存在,有时呈短链或V形排列(图 3),与放线菌近似。
易被脱色而呈革兰阴性的杆菌,其间夹杂着革兰阳性杆菌。菌血症或脓毒血症患者血培养标本涂片查见革兰阳性杆菌(图 4)。

图 3猪红斑丹毒丝菌纯培养的镜下形态(革兰染色)

图 4猪红斑丹毒丝菌血培养标本的涂片(革兰染色)
(二)猪红斑丹毒丝菌培养特性
在血琼脂平板上35℃培养18~24 h,光滑型菌落细小、圆形、凸起、有光泽(图 5),粗糙型菌落较大、表面呈颗粒状。
周围有轻微的溶血,延长培养时间则溶血更明显,更清晰(图 6)。在亚碲酸钾血琼脂平板上出现黑色菌落(图 7)。

图 5猪红斑丹毒丝菌在血琼脂平板上的菌落特征(18~24h)

图 6猪红斑丹毒丝菌在血琼脂平板上的菌落特征(48h)

图 7猪红斑丹毒丝菌在亚碲酸钾血琼脂平板上的菌落特征(18~24h)
(三)猪红斑丹毒丝菌生化反应
触酶试验阴性,TSI中产硫化氢(H₂S)是该菌主要的特点(图 8)。主要生化反应见表 4。
| 试验 | 结果 | 试验 | 结果 |
|---|---|---|---|
| 葡萄糖 | + | H₂S(TSI) | + |
| 阿拉伯糖 | – | 明胶 | – |
| 果糖 | + | 胆汁七叶苷 | – |
| 水杨苷 | + | 脲酶 | – |
| 半乳糖 | + | 动力 | – |
| 乳糖 | – | 硝酸盐 | – |
| 甘露醇 | – | 海藻糖 | – |
| 蔗糖 | – | 精氨酸双水解酶 | – |
注:+,90%以上菌株阳性;–,90%以上菌株阴性

图 8 猪红斑丹毒丝菌在TSI培养基上H2S阳性
(四)猪红斑丹毒丝菌鉴别要点
1. 本菌特征:革兰阳性细长杆菌,血琼脂平板上呈细小、光滑型菌落或较大颗粒菌落,无动力,TSI中产H₂S。
2. 与产单核细胞李斯特菌的鉴别:猪红斑丹毒丝菌为α溶血或不溶血的菌落,触酶试验阴性,而产单核细胞李斯特菌为狭窄的β溶血,触酶试验阳性。
3. 与贝氏库特菌的鉴别:猪红斑丹毒丝菌无动力和触酶试验阴性,分解葡萄糖,而贝氏库特菌则相反,并且其陈旧培养菌体呈多形性丝状体,鞭毛染色呈周鞭毛。
4. 与假白喉棒杆菌的鉴别:两者镜下形态相似(图 9),易将猪红斑丹毒丝菌误认为假白喉棒杆菌,可以做H₂S试验。

图 9猪红斑丹毒丝菌与假白喉棒杆菌镜下形态对比(革兰染色)左图为猪红斑丹毒丝菌;右图为假白喉棒杆菌
5. 菌属内各菌种之间的鉴别:见表 5。
| 菌名 | 半乳糖 | 甘露醇 | 海藻糖 | 二糖 | 乳糖 | 果糖 | 水杨苷 |
|---|---|---|---|---|---|---|---|
| 猪红斑丹毒丝菌 | + | – | – | – | – | + | + |
| E. inopinata | + | – | – | – | – | + | – |
| 扁桃体丹毒丝菌 | – | + | + | + | – | + | + |
注:+,90%以上菌株阳性;–,90%以上菌株阴性
(五)猪红斑丹毒丝菌药敏试验的药物种类选择
猪红斑丹毒丝菌首选的抗菌药物为青霉素或氨苄西林,药敏试验执行CLSI M45 - A3药敏试验方法及标准,没有纸片扩散法的折点标准。
药敏试验的药物种类选择原则见表 6。
| 抗菌药物名称 | |
|---|---|
| 必选 | 氨苄西林、青霉素 |
| 可选 | 头孢吡肟、头孢噻肟、头孢曲松、亚胺培南、美罗培南、红霉素、环丙沙星、左氧氟沙星、加替沙星、克林霉素 |
注:上述药敏试验所选药物仅有MIC判读折点,具体参照CLSI M45 - A3文件
(六)猪红斑丹毒丝菌结果解释与要点提示
(1)猪红斑丹毒丝菌是人畜共患的病原菌。人感染本菌可引起人类丹毒,主要发生在兽医、屠宰工及渔业工人身上,因接触动物或动物产品,通过受损的皮肤感染。
感染部位肿胀、疼痛、呈紫色、发硬,但不化脓,偶尔也会引起局部的淋巴管炎、关节炎,对于免疫缺陷的患者也可引起心内膜炎等疾病。
(2)本菌属对青霉素、头孢菌素、克林霉素、亚胺培南、氯霉素、红霉素、四环素和氟喹诺酮敏感,对磺胺类耐药,常用青霉素治疗。
(3)猪红斑丹毒丝菌药物治疗选择见表 7。
| 首选 | 次选 | 其他有效药物 |
|---|---|---|
| 青霉素G或阿莫西林 | 注射用三代头孢菌素、氟喹诺酮、哌拉西林 | 亚胺培南-西司他丁、万古霉素、抗假单胞菌青霉素、抗假单胞菌氨基糖苷类 |
注:具体参照《热病:桑福德抗微生物治疗指南》(新译第44版)、《国家抗微生物治疗指南》推荐
三、李斯特菌属与产单核细胞李斯特菌(L. monocytogenes)
李斯特菌属包括产单核细胞李斯特菌(L. monocytogenes)、格氏李斯特菌(L. grayi)、无害李斯特菌(L. innocua)、
伊氏李斯特菌(L. ivanovii)、李氏李斯特菌(L. seeligeri)、威氏李斯特菌(L. welshimeri)。伊氏李斯特菌有伦敦亚种(L. ivanovii subsp. londoniensis)。
代表菌种为产单核细胞李斯特菌。
产单核细胞李斯特菌(L. monocytogenes)
(一)产单核细胞李斯特菌形态与染色
革兰阳性小杆菌,大小为(0.4~0.5) μm×(1~2) μm,直或微弯,常呈V形成对排列,偶尔可见双球状(图 10)。
无芽胞,无荚膜,在22~25℃有动力,37℃时动力阴性。血培养标本涂片查见革兰阳性小杆菌(图 11)。

图 10 产单核细胞李斯特菌纯培养的镜下形态(革兰染色)

图 11 产单核细胞李斯特菌血培养标本的涂片(革兰染色)
(二)产单核细胞李斯特菌培养特性
在血琼脂平板上35℃培养18~24 h,形成较小、圆形、光滑而有狭窄β溶血环的菌落(图 12);培养48 h以上(图 13),可出现“车轮状”菌落(图 14)。在液体培养基中呈均匀浑浊生长。在半固体培养基中,自穿刺线向四周蔓延生长,呈倒伞状(图 15)。能在4℃下缓慢生长。

图 12 产单核细胞李斯特菌在血琼脂平板上的菌落特征(18~24 h)

图 13 产单核细胞李斯特菌在血琼脂平板上的菌落特征(>48h)

图 14 产单核细胞李斯特菌在血琼脂平板上呈车轮状菌落

图 15 产单核细胞李斯特菌在半固体培养基中的生长情况(18~24h)左管动力阳性;右管动力阴性
(三)产单核细胞李斯特菌生化反应
触酶试验阳性,CAMP试验阳性(图 16),主要生化反应见表14-10-1。

图 16 产单核细胞李斯特菌CAMP试验阳性
| 试验 | 结果 | 试验 | 结果 |
|---|---|---|---|
| β溶血 | 狭窄 | 七叶苷 | + |
| 动力(25℃) | + | 鼠李糖 | + |
| CAMP | + | 甘露醇 | – |
| 马尿酸钠 | – | 木糖 | – |
注:+,90%以上菌株阳性;–,90%以上菌株阴性
(四)产单核细胞李斯特菌鉴别要点
1. 本菌特征:革兰阳性短杆菌,菌落较小,有狭窄的β溶血环,25℃时有动力,37℃时无动力,触酶、CAMP试验阳性,分解葡萄糖。
2. 与其他李斯特菌的鉴别:见表 9。
| 试验 | 格氏李斯特菌 | 无害李斯特菌 | 伊氏李斯特菌 菌伊氏亚种 | 伊氏李斯特菌 菌伦敦亚种 | 产单核细胞 李斯特菌 | 斯氏李斯特菌 | 威氏李斯特菌 |
|---|---|---|---|---|---|---|---|
| β溶血 | – | – | + | + | + | + | – |
| CAMP(金黄色葡萄球菌) | – | – | – | – | + | + | – |
| 马红球菌 | – | – | + | + | V | – | – |
| 甘露醇 | + | – | – | – | – | – | – |
| α-甲基-D-甘露糖 | + | – | – | – | + | – | – |
| 鼠李糖 | V | V | – | – | + | – | V |
| 可溶性淀粉 | + | – | – | – | – | ND | ND |
| 木糖 | – | – | – | – | – | – | + |
| 核糖 | V | V | V | + | ND | ND | ND |
| N-乙酰-β-D-甘露糖苷 | ND | ND | V | + | ND | ND | ND |
| 马尿酸钠水解 | – | + | + | + | + | ND | ND |
| 硝酸盐 | V | – | – | – | ND | ND | ND |
注:+,90%以上菌株阳性;–,90%以上菌株阴性;ND,无资料;V,结果可变;++,宽的溶血环或溶血环大
3. 与粪肠球菌的鉴别:两者均具有耐盐、耐碱、耐胆汁等特点,但可通过触酶试验加以鉴别。
4. 与无乳链球菌的鉴别:两者CAMP试验均为阳性(图 17),但产单核细胞李斯特菌触酶试验阳性,无乳链球菌触酶试验阴性。

图 17 李斯特菌与无乳链球菌CAMP试验左图为李斯特菌CAMP试验,右图为无乳链球菌CAMP试验;李斯特菌CAMP试验的加强溶血区域不是半月形而是火柴头状,应与无乳链球菌的CAMP试验相区别
5. 与耳炎苏黎世菌的鉴别:两者CAMP试验均为阳性,但产单核细胞李斯特菌为革兰阳性小杆菌,而耳炎苏黎世菌为革兰阳性长杆菌。
6. 与猪红斑丹毒丝菌的鉴别:产单核细胞李斯特菌CAMP试验阳性,H₂S试验阴性,猪红斑丹毒丝菌则相反。
7. 与相关菌属的鉴别:见表 10。
| 菌名 | β溶血 | 触酶 | 动力 | CAMP | H₂S | 七叶苷 | 葡萄糖 | 甘露醇 | 水杨苷 |
|---|---|---|---|---|---|---|---|---|---|
| 产单核细胞李斯特菌 | 狭窄 | + | + | + | – | + | + | – | + |
| 丹毒丝菌属 | V | – | – | – | + | – | + | – | – |
| 乳杆菌属 | – | – | – | – | – | + | + | +/– | +/– |
| 库特菌属 | – | + | + | – | – | – | + | – | – |
| 棒杆菌属 | V | + | – | – | – | V | V | – | V |
| 无乳链球菌 | + | – | – | + | – | – | + | – | V |
| 厄氏菌属 | + | + | + | – | – | + | + | – | – |
| 马红球菌 | – | + | – | – | – | – | + | – | ND |
注:+,90%以上菌株阳性;–,90%以上菌株阴性;+/–,多数阳性,少数阴性;–/+,多数阴性,少数阳性;V,结果可变;ND,无资料。h, 25℃
(五)产单核细胞李斯特菌药敏试验的药物种类选择
CLSI推荐首选抗菌药物青霉素或氨苄西林、复方磺胺甲噁唑。药敏试验标准执行CLSI M45 - A2药敏试验方法及标准,没有K - B法的折点标准。药敏试验的药物种类选择依据见表 11。
| 抗菌药物名称 | |
|---|---|
| 必选 | 青霉素(或)氨苄西林 |
| 可选 | 复方磺胺甲噁唑、美罗培南 |
注:上述药敏试验所选药物仅有MIC判读折点,具体参照CLSI M45 - A3文件
(六)产单核细胞李斯特菌结果解释与要点提示
(1)产单核细胞李斯特菌在自然界分布很广,在土壤、水、人和动物粪便中均可存在,常伴随EB病毒引起传染性单核细胞增多症,也可引起脑膜炎、菌血症等。近年在发达国家常因污染奶制品而引起食物中毒。
(2)青霉素、氨苄西林单独或联合氨基糖苷类抗生素经常被推荐用于治疗李斯特菌病。体外试验表明,氨基糖苷类能够提高青霉素对李斯特菌的杀菌能力。李斯特菌对头孢菌素天然耐药,对氯霉素、大环内酯类、四环素有一定的耐药性。近年从临床分离出一些质粒介导的对氯霉素、大环内酯类、四环素耐药的产单核细胞李斯特菌菌株,应引起注意。
(3)值得注意的是,本菌容易被认为是污染的杂菌(类白喉杆菌)而遭丢弃。幼龄培养呈革兰阳性,48 h后转为革兰阴性。因此当遇到25℃培养有动力的杆菌,而按照革兰阴性杆菌鉴定不符时,应考虑到李斯特菌的可能。
(4)产单核细胞李斯特菌药物治疗选择见表14-10-5。
| 首选 | 次选 | 其他有效药物 |
|---|---|---|
| 氨苄西林+庆大霉素 青霉素+氨苄西林 | TMP - SMX | 红霉素、青霉素G(大剂量)、抗假单胞菌氨基糖苷类与β-内酰胺类可能有协同作用 对头孢菌素耐药 氯霉素、阿奇霉素 |
注:具体参照《热病:桑福德抗微生物治疗指南》(新译第44版)、《国家抗微生物治疗指南》推荐
参考文献
周庭银, 章强强 主编. 临床微生物学诊断与图解(第4版)[M]. 上海: 上海科学技术出版社, 2019.
相关产品
HZB652620:化脓储珀菌 | Trueperella pyogenes
HZB903995:猪红斑丹毒丝菌 | Erysipelothrix rhusiopathiae
HZB918227:产单核细胞李斯特菌 | Listeria monocytogenes
敬请关注灰藻生物,共筑健康未来!
— 武汉市灰藻生物科技有限公司团队敬上
灰藻生物:我们期待着与客户共同成长,共创生命科学的美好未来!
更新日期:2026-03-09
编制人:木木
审稿人:小藻