嗜盐着色菌属(Halochromatium)与闪杆菌属(Lamprobacter)的系统分类学、生理生态特征及菌种保藏方法(四)(第二卷 变形菌门 Part B, Page 41))
来源:武汉市灰藻生物科技有限公司 浏览量:239 发布时间:2025-09-19 19:57:28
嗜盐着色菌属(Halochromatium)
细胞为直杆状或微弯杆状,单生或成对存在,通过二分裂方式增殖。
极生鞭毛运动,革兰氏阴性菌,属于γ-变形菌纲(Gammaproteobacteria),细胞内含囊状光合膜系统,其光合色素为细菌叶绿素a和类胡萝卜素。
在厌氧光照条件下,可进行光能自养生长,以硫化物和单质硫(S⁰)作为电子供体。硫化物的氧化过程中会形成单质硫中间体,并以高折光性硫粒形式储存于细胞内,最终氧化产物为硫酸盐。
亦可使用氢气作为电子供体。在存在硫化物和碳酸氢盐的条件下,能够光同化有机底物。
可在微氧黑暗环境中,进行化能自养和化能异养生长。
中温菌,最适生长温度20-35℃,最适pH 7.2-7.6。生长需要较高盐浓度。
栖息地:盐场还原性沉积物、高盐环境微生物垫以及暴露于光照下的高盐沿海泻湖。
DNA的G+C摩尔含量为64.6–66.3%。
模式种:嗜盐着色菌(Halochromatium salexigens)(Caumette, Baulaigue and Matheron 1988) Imhoff, Süling and Petri 1998b, 1140
异名:Chromatium salexigens Caumette, Baulaigue and Matheron 1988, 291
一、嗜盐着色菌属(Halochromatium)富集与分离方法
富集和分离方法与着色菌属(Chromatium)所述相同。嗜盐着色菌属物种通常存在于高盐环境沉积物表层的微生物垫、盐场盐壳(石膏沉积)层、浅水盐湖以及盐度约10-20%的蒸发泻湖中。通过将微生物垫紫色层样品直接接种至含7-10%氯化钠的合成培养基深层琼脂稀释系列,可富集或分离该菌(方法参见Caumette等,1988)。
二、嗜盐着色菌属(Halochromatium)保藏方法
液态培养基菌株保存及液氮长期保藏方法同着色菌属。
三、嗜盐着色菌属(Halochromatium)属间鉴别特征
嗜盐着色菌属的特征在于要求高盐浓度且具有运动性杆状细胞。
与着色菌科(Chromatiaceae)其他属的鉴别特征参见着色菌科章节表6。
基于16S rDNA序列分析的该属与着色菌科其他成员的种系发生关系参见着色菌科章节图1。
四、嗜盐着色菌属(Halochromatium)分类学评注
本属目前包含的两个物种最初被归类为着色菌属(Chromatium),因其具有无气泡的杆状运动性细胞——这曾是着色菌属的定义特征。
16S rDNA序列分析显示它们与真着色菌属物种及其他着色菌科成员存在种系遗传距离,故被重新划分为新属嗜盐着色菌属。该属物种是着色菌科中耐盐性最强的类群之一,属于真正海洋性与嗜盐性着色菌科物种的分支。
五、嗜盐着色菌属(Halochromatium)物种鉴别特征
嗜盐着色菌属(Halochromatium)各物种的鉴别特征参见着色菌科(Chromatiaceae)章节表6。
六、嗜盐着色菌属(Halochromatium)物种列表
1.需盐嗜盐着色菌(Halochromatium salexigens)(Caumette, Baulaigue and Matheron 1988) Imhoff, Süling and Petri 1998b, 1140VP (异名:Chromatium salexigens Caumette, Baulaigue and Matheron 1988, 291)
词源:salexigens → 拉丁名词 sal 盐;拉丁动词 exigo 要求;现代拉丁分词形容词 salexigens 需盐的
细胞为直杆或微弯杆状,尺寸2.0–2.5 × 4.0–7.5 μm,通过极生或亚极生鞭毛束运动。菌悬液呈粉红色至微紫色。
光合色素包括细菌叶绿素a和类胡萝卜素:螺旋菌素、脱水玫红蝶菌素、玫红品、番茄红素和玫红蝶菌素。
在厌氧光照条件下进行光能无机自养生长,以硫化物、单质硫(S⁰)、亚硫酸盐、硫代硫酸盐和氢气(H₂)作为电子供体。在硫化物和碳酸盐存在时,可光同化乙酸和丙酮酸。可在微氧黑暗条件下以硫化物和硫代硫酸盐进行化能无机自养生长,或以乙酸和丙酮酸进行化能有机营养生长。无同化型硫酸盐还原能力。需要维生素B₁₂。
中温嗜盐菌,最适生长温度20–30℃,最适pH 7.4–7.6(pH范围7.0–8.0)。生长需要氯化钠,最适盐度8–11% NaCl,生长盐度范围4–20% NaCl。
栖息地:沿海盐场中暴露于光照的含盐沉积还原层。
DNA的G+C摩尔含量:64.6%(浮力密度法,Bd)
模式菌株:SG3201, BN 6310, DSM 4395
GenBank登录号(16S rRNA):X98597
2.乙二醇嗜盐着色菌(Halochromatium glycolicum)(Caumette, Imhoff, Süling and Matheron 1997) Imhoff, Süling and Petri 1998b, 1140VP (异名:Chromatium glycolicum Caumette, Imhoff, Süling and Matheron 1997, 17)
词源:glycolicum → 现代拉丁中性形容词 glycolicum 与利用乙二醇(glycolate)为底物的能力相关
细胞直杆至微弯杆状,极生鞭毛运动。自养培养细胞尺寸0.8–1.0 × 2–4 μm;有机底物存在时尺寸1.0–3.0 × 2–11 μm。菌悬液粉红色。光合色素为细菌叶绿素a和主要类胡萝卜素:螺旋菌素和脱水玫红蝶菌素,含少量玫红品、番茄红素和玫红蝶菌素。
在厌氧光照条件下进行光能无机自养生长,以氢气、硫化物、单质硫(S⁰)、亚硫酸盐和硫代硫酸盐作为电子供体。在硫化物和碳酸氢盐存在时,可光同化乙二醇、甘油、富马酸盐和琥珀酸盐。甲酸盐、乙酸盐、丙酮酸盐和酪蛋白氨基酸可轻微提高生长产量。可在微氧黑暗条件下以硫化物和硫代硫酸盐进行化能无机自养生长,或以乙二醇和甘油进行化能有机营养生长。无同化型硫酸盐还原能力。
中温嗜盐菌,最适生长温度25–35℃(40℃以上不生长),最适pH 7.2–7.4(pH范围6.2–9.0)。生长需要氯化钠,最适盐度4–6% NaCl,生长盐度范围2–20% NaCl。
栖息地:高盐环境(如经历蒸发的沿海泻湖、盐湖和高浓度盐场)中的厌氧、含硫化物且光照暴露的生境。
DNA的G+C摩尔含量:66.3%(高效液相色谱法,HPLC)
模式菌株:SL3201, ATCC 700202, DSM 11080
GenBank登录号(16S rRNA):X93472
同着色菌属(Isochromatium)
细胞形态为直杆至微弯杆状,通过二分裂方式增殖。极生鞭毛束运动,革兰氏阴性,属于γ-变形菌纲。细胞内含囊状光合膜系统,其光合色素为细菌叶绿素a和类胡萝卜素。
专性光能营养且严格厌氧。在厌氧光照条件下,可进行光能无机自养生长,以硫化物和单质硫(S⁰)作为电子供体。
硫化物氧化过程中形成的单质硫以高折光性硫粒形式储存于细胞内,最终氧化产物为硫酸盐。在硫化物和碳酸氢盐存在时,可光同化简单有机底物。
中温菌,最适生长温度25-35℃,pH范围6.5-7.6。生长需要盐分,浓度符合典型海洋细菌需求。
栖息地:河口盐滩和盐沼。
DNA的G+C摩尔含量:62.2–62.8%
模式种:布氏同着色菌(Isochromatium buderi)(Tru¨per and Jannasch 1968) Imhoff, Süling and Petri 1998b, 1141(异名:Chromatium buderi Tru¨per and Jannasch 1968, 364)
一、同着色菌属(Isochromatium)富集与分离方法
本属可采用着色菌属(Chromatium)培养基(需添加2-3% NaCl),培养条件和分离程序与着色菌属相同。
二、同着色菌属(Isochromatium)保藏方法
液态培养基菌株保存及液氮长期保藏方法同着色菌属。
三、同着色菌属(Isochromatium)属间鉴别特征
与着色菌科其他光能营养属的鉴别特征参见该科章节表6。基于16S rDNA序列分析的布氏同着色菌与着色菌科其他物种的遗传关系参见该科章节图1。
四、同着色菌属(Isochromatium)分类学评注
布氏同着色菌原称为布氏着色菌(Chromatium buderi)(Tru¨per and Jannasch, 1968)。基于其与着色菌属及其他着色菌科成员显著的遗传和生理差异,被重新划分为新属同着色菌属。该物种属于真正海洋性与嗜盐性着色菌科物种的分支。
五、同着色菌属(Isochromatium)物种列表
1.布氏同着色菌(Isochromatium buderi)(Tru¨per and Jannasch 1968) Imhoff, Süling and Petri 1998b, 1141VP (异名:Chromatium buderi Tru¨per and Jannasch 1968, 364)
词源:buderi → 现代拉丁属格名词 buderi 源于布德(Buder);纪念德国植物生理学家J. Buder
细胞呈卵圆至杆状,指数生长期尺寸3.5–4.5 × 4.5–9 μm,稳定期约3–4 μm。极生鞭毛束运动,鞭毛长度通常为细胞的1.5–2倍,可在光学显微镜下观察。硫粒(S⁰ globules)均匀分布于细胞内。单细胞呈灰白色,菌悬液为粉紫至紫罗兰色。光合色素包括细菌叶绿素a和玫红品类胡萝卜素。
专性光能营养且严格厌氧。以硫化物和单质硫(S⁰)作为电子供体进行光能无机自养生长。在硫化物和碳酸氢盐存在时,可光同化乙酸和丙酮酸。不利用:硫代硫酸盐、氢气、糖类、醇类、高级脂肪酸、氨基酸、苯甲酸盐、甲酸盐以及三羧酸循环多数中间体。无同化型硫酸盐还原能力。氮源:铵盐。需要维生素B₁₂。
中温海洋细菌,生长需氯化钠。最适生长盐度1–3%(w/v)NaCl,否则呈现极度多形性。最适pH 7.2–7.4(范围6.5–7.6),最适生长温度25–35℃。
栖息地:河口盐滩(estuarine salt flats)和盐沼(salt marshes)。
DNA的G+C摩尔含量:62.2–62.8%(浮力密度法,Bd),模式菌株:62.2%(Bd)
模式菌株:8111, ATCC 25588, DSM 176
GenBank登录号(16S rRNA):AJ224430
闪杆菌属(Lamprobacter)
细胞呈杆状或卵圆形,尺寸2.0–2.5 × 4–5 μm,通过二分裂增殖,不形成聚集体。在细胞外周或整个细胞质中形成气泡(gas vesicles)。在特定发育阶段通过鞭毛运动,运动细胞通常无气泡。革兰氏阴性,属于γ-变形菌纲,细胞内含囊状光合膜系统,其光合色素为细菌叶绿素a和类胡萝卜素。
在厌氧光照条件下进行光能无机自养生长,以还原性硫化合物作为电子供体。
在硫化物或硫代硫酸盐氧化过程中,单质硫(S⁰)以高折光性硫粒形式暂时储存于细胞内。
在硫化物和碳酸氢盐存在时,可光同化简单有机底物。可在微氧黑暗条件下进行化能营养生长。
DNA的G+C摩尔含量:60–64%
模式种:中度喜盐闪杆菌(Lamprobacter modestohalophilus)Gorlenko, Krasil’nikova, Kikina and Tatarinova 1988, 220(有效发表:Gorlenko, Krasil’nikova, Kikina and Tatarinova 1979, 765)
中度喜盐闪杆菌在不同生长条件下呈现显著多形性。在Pfennig(1965)矿物培养基(含硫化物或硫代硫酸盐)中,不同菌株的杆状或卵圆形细胞尺寸为0.5–1.5 × 2.5–5 μm。
在含碳酸氢盐培养基中培养时,这些细胞在正常发育过程中呈现二形性:新转接培养物中的细胞呈杆状,通过鞭毛运动,通常无气泡且含硫粒;指数生长后期细胞失去运动性,形成气泡和粘液荚膜;稳定期时粘液荚膜固化,细胞转化为孢囊。含气泡细胞在室温下集中于培养瓶上部。气泡呈短尖头圆柱形(60×80 nm至120×140 nm),聚集于细胞周边,而硫沉积在细胞中央无气泡区域。多次传代后暂时失去产生运动细胞的能力,细菌在所有生长阶段均被松散或致密粘液荚膜包裹并含气泡。高NaCl浓度和酸性pH(5.9–6.6)下细胞大而不规则,pH≥8.0时细胞细长微弯。
细胞壁为革兰氏阴性型,特征性外膜覆盖由20 nm六边形亚基组成的外层(S层)。营养细胞具有松散纤维状粘液荚膜,孢囊样细胞的荚膜致密且边缘清晰。光合膜系统占据光厌氧生长细菌细胞质的主要部分。在化学营养(黑暗好氧)和光能营养(光照厌氧)条件下,甘油生长时大量产生储存物质。
光照厌氧培养的菌悬液呈紫粉色。体内吸收峰(370、655、804、827 nm和880 nm肩峰)表明存在细菌叶绿素a,而518 nm主峰和486、549 nm肩峰显示奥肯酮类类胡萝卜素存在。化学分析主要成分为:奥肯酮(okenone,64.2%)、硫塞奥H-484(thiothece-OH-484,18.5%,亦存在于胶质硫囊菌中)和螺旋菌素(spirilloxanthin,10.5%)(Sidorova等,1998)。
可光同化的有机化合物中,甘油、乙酸、丙酮酸、乳酸、麦芽糖和乳糖显著提高产量。甘油代谢涉及甘油激酶和独立于吡啶核苷酸的α-磷酸甘油脱氢酶。有机酸通过不完全三羧酸循环同化,无乙醛酸循环。糖类通过Embden–Meyerhof途径利用。
黑暗化能营养生长的最适条件为气相含10% O₂,光照光能营养生长在O₂浓度>2%时受抑制。黑暗 stab 培养(0.8%琼脂培养基)中,生长发生在表面下1 cm处。需要硫代硫酸盐或S⁰作为电子供体和同化用硫源,最适硫代硫酸盐浓度0.2%(0.5%时强烈抑制好氧培养物生长)。黑暗条件下硫代硫酸盐氧化为S⁰和硫酸盐,S⁰作为中间产物胞内沉积,与硫酸盐生成同步进行。化能好氧生长需要维生素B₁₂,黑暗条件下以甘油为碳源时生长最佳,乳酸、丙酮酸和丙酸盐也刺激生长。
一、闪杆菌属(Lamprobacter)富集与分离方法
中度喜盐闪杆菌广泛分布于克里米亚南部、顿涅茨克地区(乌克兰)和土库曼斯坦(前苏联)浅水、温暖、高盐度(0.5–12% NaCl)和高硫化物含量的微生物垫中,白海沿岸区域未发现。
当将水和泥浆样品接种至含0.5–4% NaCl、0.05% Na₂S·9H₂O、0.1% Na₂S₂O₃·5H₂O和0.1%乙酸钠的培养基中时,含气泡细菌集中于培养容器上部。用无菌毛细管移取该部分,按闪囊菌属(Lamprocystis)所述方法进行琼脂稀释系列培养。
二、闪杆菌属(Lamprobacter)保藏方法
液态培养基菌株保存及液氮长期保藏方法同着色菌属(Chromatium)。1–3个月短期保存可采用低光强度冰箱储存的液态培养基。
三、闪杆菌属(Lamprobacter)属间鉴别特征
闪杆菌属的特征在于杆状运动性细胞在特定生长条件下形成气泡,据此与着色菌科其他属相区分。与着色菌科其他属的鉴别特征参见该科章节表7。
四、闪杆菌属(Lamprobacter)物种列表
1.中度喜盐闪杆菌(Lamprobacter modestohalophilus)Gorlenko, Krasil’nikova, Kikina and Tatarinova 1988, 220VP (有效发表:Gorlenko, Krasil’nikova, Kikina and Tatarinova 1979, 765)
词源:modestohalophilus → 拉丁名词 modestus 中度;希腊名词 hals 盐;希腊形容词 philos 喜爱;现代拉丁阳性形容词 modestohalophilus 中度喜盐的
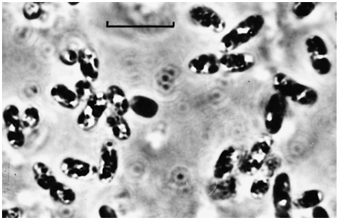
细胞杆状或卵圆形,尺寸2.0–2.5 × 4–5 μm,培养条件变化时呈多形性(图1)。生命周期含两种交替形态:具气泡(gas vesicles)和粘液荚膜(slime capsules)的非运动细胞,以及通过鞭毛运动且无气泡的细胞。气泡常位于细胞周边,硫粒(S⁰ globules)位于细胞中央。囊状光合膜系统,矿物培养基中生长的细胞其囊泡直径约70 nm。光合色素为细菌叶绿素a和奥肯酮类类胡萝卜素。

图1. 中度喜盐闪杆菌(Lamprobacter modestohalophilus)RO-1菌株。相差显微照片(Phase-contrast micrograph)。比例尺=10 μm。
可在光照厌氧条件和黑暗微氧条件下生长。光照厌氧条件下菌悬液呈紫色至粉红色;黑暗好氧条件下色素合成减少,培养物变为无色。
光合电子供体为硫化物、硫代硫酸盐、单质硫(S⁰)和氢气,但不利用亚硫酸盐。黑暗条件下电子供体为硫代硫酸盐和硫。硫化物和硫代硫酸盐氧化为S⁰和硫酸盐。无同化型硫酸盐还原能力,需要还原性硫化合物。
通过卡尔文循环(Calvin cycle)同化CO₂。在硫化物(或硫代硫酸盐)和碳酸氢盐存在时,可光同化(photoassimilated)醇类(甘油、正丙醇、正丁醇、乙醇、异丁醇和异丙醇)和有机酸(乳酸、丙酮酸和乙酸)。不利用甲醇、异戊醇、山梨醇、卫矛醇、甘露醇、琥珀酸、富马酸、苹果酸、乳糖、麦芽糖、木糖、半乳糖和果糖。正戊醇、烯丙醇、甲酸盐、丙酸盐、苯甲酸盐、阿拉伯糖、鼠李糖和棉子糖抑制生长。氮源:铵盐、尿素、酪蛋白水解物、谷氨酸和氮气(N₂)。具有氢酶和过氧化氢酶活性。储存物质:S⁰、聚-β-羟基丁酸酯、多聚磷酸盐和多糖。需要维生素B₁₂。
最适生长条件:23–27℃,pH 7.4–7.6,1–4% NaCl(最高耐受9% NaCl)。生长需要氯化钠。适宜光照强度3000 lux。
栖息地:含硫化物的泥浆和盐度1–11%的盐水水体。
DNA的G+C摩尔含量:60–64%
模式菌株:INMI RO-1菌株已遗失;未指定新模式菌株
补充说明:可用作新模式的候选菌株:"Syvash"(俄罗斯科学院微生物研究所,莫斯科),从盐度6.7%、pH生长范围6.9–7.6、温度生长范围20–30℃的Syvash盐湖泻湖分离。
参考文献
1.Caumette, P. , Baulaigue, R. and Matheron, R. 1988. Characterization of Chromatium salexignes sp. nov., a halophilic Chromatiaceae isolated from Mediterranean salinas. System. Appl. Microbiol. 10: 284–292.
2.Caumette, P., Imhoff, J.F., Su¨ling, J. and Matheron, R. 1997. Chromatium glycolicum sp. nov., a moderatly halophilic purple sulfter bacterium that uses glycolate as a substrate. Arch. Microbiol. 167: 1129–1143.
3.Imhoff, J.F., Su¨ling, J. and Petri, R. 1998. Phylogenetic relationships among the Chromatiaceae, their taxonomic reclassification and description of the new genera Allochromatium, Halochromatium, Isochromatium, Marichromatium, Thiococcus, Thiohalocapsa, and Thermochromatium. Int. J. Syst. Bacteriol. 48: 1129–1143.
# 翻译自:Bergeys Manual of Systematic Bacteriology (Garrity, Berner, Creig) . Volume Two:The Proteobacteria Part B The Gammaproteobacteria.(Order I. Chromatiales)
敬请关注“灰藻视界”,共筑健康未来!
— 武汉市灰藻生物科技有限公司团队敬上
灰藻生物:我们期待着与客户共同成长,共创生命科学的美好未来!
更新日期:2025-09-19
编制人:思琪
审稿人:小藻