小单孢菌属、耳炎苏黎世菌、骚动厄氏菌、刚果嗜皮菌的生理生化特性介绍
来源:武汉市灰藻生物科技有限公司 浏览量:115 发布时间:2026-03-02 13:32:50
一、小单孢菌属(Micromonospora)
小单孢菌属(Micromonospora)包括棘孢小单孢菌(M. echinobrunnea)和绛红小单孢菌(M. purpurea),还有暗黄紫小单孢菌(M. fulvoviolacea)、微暗褐小单孢菌(M. brunnescens)、柠檬色小单孢菌(M. citrea)、暗黄绿小单孢菌(M. fulvoviridis)等。
(一)小单孢菌属形态与染色
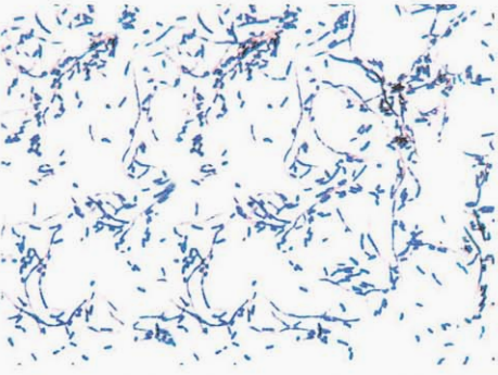
革兰染色阳性,菌体纤细,直径0.3~0.6 μm,有分枝,不断裂。基生菌丝产生单一的孢子,孢子单生、无柄,或着生在或长或短的孢子梗上,孢子梗时常分枝成簇(图 1)。

图 1小单孢菌属纯培养的镜下形态(革兰染色)
(二)小单孢菌属培养特性
在营养琼脂培养基上,在10~45℃生长,形成直径约3 mm的细小菌落,颜色从浅黄橙至橙红色,少数为棕褐色、栗色、紫褐色或蓝绿色。孢子层通常为褐色至黑色,黏液状。
(三)小单孢菌属生化反应
葡萄糖O/F氧化型,小单孢菌属主要生化反应见表 1。
| 试验 | 结果 | 试验 | 结果 |
|---|---|---|---|
| 氧化/发酵 | O | 45℃生长 | + |
| 抗酸染色 | – | 50℃生长 | – |
| 酰基硫酸脂酶 | – | 棉子糖 | W |
| 溶菌酶 | – | 核糖 | – |
注:+,90%以上菌株阳性;–,90%以上菌株阴性;W,延迟反应;O,氧化
(四)小单孢菌属鉴别要点
1. 本菌特征:在营养琼脂培养基上,小单孢菌属菌落的颜色随着培养时间的延长从最初的白色到鲜亮的橙色,最后变为黑色。
2. 与链霉菌属的鉴别:小单孢菌属菌落的颜色从最初的白色到鲜亮的橙色,继而变为黑色,而链霉菌属的菌落产生多种色素,且有些色素是可溶性的,使气生基生菌丝带有颜色。
(五)小单孢菌属药敏试验的药物种类选择
目前CLSI还没有相应的标准测定方法和解释标准。
(六)小单孢菌属结果解释与要点提示
小单孢菌属为需氧性腐生菌。大多分布在土壤或湖底泥土中、堆肥和厩肥中,约有30多种,是产生抗菌药物较多的一个属,包括能产生庆大霉素的棘孢小单孢菌和绛红小单孢菌。有的种还积累维生素B₁₂。
二、苏黎世菌属与耳炎苏黎世菌(T. otitidis)
苏黎世菌属与棒杆菌属密切相关(是棒杆菌属的姐妹属),仅有耳炎苏黎世菌(T. otitidis)一个种。
耳炎苏黎世菌(T. otitidis)
(一)耳炎苏黎世菌形态与染色
革兰染色呈现较长的革兰阳性杆菌,无分枝(图 2)。

图 2耳炎苏黎世菌纯培养镜下形态(革兰染色)
(二)耳炎苏黎世菌培养特性
在血琼脂平板上35℃培养18~24 h,形成圆形、凸起、奶油状、边缘整齐的白色菌落。
(三)耳炎苏黎世菌生化反应
触酶试验阳性,主要生化反应见表 2。
| 试验 | 结果 | 试验 | 结果 |
|---|---|---|---|
| 触酶 | + | CAMP | + |
| 氧化/发酵 | O | 动力 | – |
| 麦芽糖 | – | 脲酶 | – |
| 蔗糖 | – | 七叶苷 | – |
| 甘露醇 | – | 硝酸盐 | – |
注:+,90%以上菌株阳性;–,90%以上菌株阴性;O,氧化
(四)耳炎苏黎世菌鉴别要点
1. 本菌特征:革兰阳性长杆菌,触酶、CAMP试验阳性,葡萄糖O/F为氧化型。
2. 与无乳链球菌的鉴别:两者CAMP试验均为阳性,但耳炎苏黎世菌镜下形态为革兰阳性长杆菌,菌落奶油状,无溶血环;无乳链球菌为革兰阳性球菌,菌落有β溶血环,有“乳光”。
3. 与耳棒杆菌的鉴别:两者CAMP试验均为阳性,耳炎苏黎世菌为革兰阳性长杆菌,耳棒杆菌为革兰阳性短杆菌。
4. 与快速生长分枝杆菌的鉴别:两者镜下均为革兰阳性细长杆菌,但耳炎苏黎世菌抗酸染色为阴性,而快速生长分枝杆菌抗酸染色阳性(图 3)。

图 3 耳炎苏黎世菌与快速生长分枝杆菌(抗酸染色)左侧为耳炎苏黎世菌右侧为快速生长分枝杆菌
(五)耳炎苏黎世菌药敏试验的药物种类选择
药敏试验的药物种类选择依据见表 3。
| 抗菌药物名称 | |
|---|---|
| 必选 | 青霉素、庆大霉素、红霉素、万古霉素 |
| 可选 | 头孢吡肟、头孢噻肟、头孢曲松、美罗培南、达托霉素、环丙沙星、多西环素、四环素、克林霉素、复方磺胺甲噁唑、利福平、利奈唑胺、奎奴普丁-达福普汀 |
注:上述药敏试验所选药物仅有MIC判读折点,具体参照CLSI M45 - A3文件
(六)耳炎苏黎世菌结果解释与要点提示
对于来自无菌部位的标本,如血液、深部组织、植入假体装置的分离株,特别是免疫缺陷者,应进行药敏试验。
三、厄氏菌属与骚动厄氏菌(O. turbata)
厄氏菌属原有2个种:骚动厄氏菌(O. turbata)和溶黄嘌呤厄氏菌(O. xanthineolytica),现溶黄嘌呤厄氏菌被分类为纤维单胞菌属(Cellulomonas)。
骚动厄氏菌(O. turbata)
(一)骚动厄氏菌形态与染色
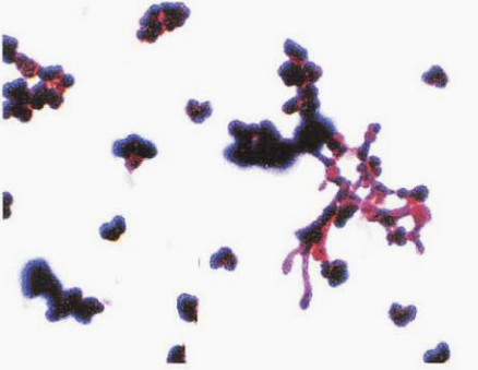
革兰阳性,呈球杆状、分枝、菌丝体、细长杆菌(图 4);培养时间延长(72 h后),分裂成球形(图 5)。

图 4骚动厄氏菌纯培养的镜下形态(革兰染色,24h)

图 5骚动厄氏菌纯培养的镜下形态(革兰染色,72h)
(二)骚动厄氏菌培养特性
在血琼脂平板上35℃培养18~24 h,形成圆形、凸起、湿润、中等大小的黄色菌落(图 6)。

图 6骚动厄氏菌在血琼脂平板上菌落形态(18~24h)
(三)骚动厄氏菌生化反应
触酶试验阳性,主要生化反应见表 4。
| 试验 | 结果 | 试验 | 结果 |
|---|---|---|---|
| 触酶 | + | 甘露醇 | – |
| 葡萄糖 | + | 七叶苷 | + |
| 麦芽糖 | + | 硝酸盐还原 | + |
| 蔗糖 | + | 脲酶 | – |
| 木糖 | + | 氧化/发酵 | F |
注:+,90%以上菌株阳性;–,90%以上菌株阴性;F,发酵
(四)骚动厄氏菌鉴别要点
1. 本菌特征:革兰阳性分枝、菌丝体、细长杆菌,触酶试验阳性,分解葡萄糖和蔗糖,硝酸盐还原试验阳性,葡萄糖O/F为发酵型。
2. 与诺卡菌的鉴别:两者镜下形态相似,但骚动厄氏菌抗酸染色阴性,而诺卡菌属则为弱阳性。
3. 与溶黄嘌呤厄氏菌的鉴别:见表 5。
| 菌名 | 酪蛋白 | 次黄嘌呤 | 酪氨酸 | 黄嘌呤 | 明胶 | 硝酸盐还原 | 脲酶 |
|---|---|---|---|---|---|---|---|
| 骚动厄氏菌 | – | – | – | – | + | + | – |
| 溶黄嘌呤厄氏菌 | + | + | – | + | + | + | –/+ |
注:+,90%以上菌株阳性;–,90%以上菌株阴性;–/+,大部分菌株阴性
(五)骚动厄氏菌药敏试验的药物种类选择
药敏试验的药物种类选择依据见表 6。
| 抗菌药物名称 | |
|---|---|
| 首选 | 青霉素、庆大霉素、红霉素、万古霉素 |
| 备选 | 头孢吡肟、头孢噻肟、头孢曲松、美罗培南、达托霉素、环丙沙星、多西环素、四环素、克林霉素、复方磺胺甲噁唑、利福平、利奈唑胺、奎奴普丁-达福普汀 |
注:上述药敏试验所选药物仅有MIC判读折点,具体参照CLSI M45 - A3文件
(六)骚动厄氏菌结果解释与要点提示
厄氏菌属存在环境和土壤中,是一种条件致病菌,也可引起人类感染,曾有报道引起菌血症。
四、嗜皮菌属与刚果嗜皮菌(D. congolensis)
1915年,在比利时嗜皮菌属首次被van Saceghem确认对牛有致病性。1961年美国首次报道该菌能引起动物疾病。1995年从海龟中分离到一新菌种,被命名为海龟嗜皮菌(D. chelonae)。近来报道刚果嗜皮菌(D. congolensis)可引起患者足石沟状角化病、皮肤感染等疾病。
刚果嗜皮菌(D. congolensis)
(一)刚果嗜皮菌形态染色
吉姆萨染色呈分枝状的丝状菌体,横向和纵向分枝有逐渐变细的菌丝,无芽胞,直径为0.6~1.0 μm(图 7)。

图 7刚果嗜皮菌皮肤组织直接涂片(吉姆萨染色)
(二)刚果嗜皮菌培养特性
BCYE(buffered charcoal-yeast extract)琼脂平板25℃培养至少2周时菌落呈灰白色、黄色或橙色,粗糙,不透明,颗粒状。周围有β溶血环,黏附在琼脂上。
(三)刚果嗜皮菌生化反应
触酶试验阳性,抗酸染色阴性,弱抗酸染色阴性,动力试验阳性。
(四)刚果嗜皮菌鉴别要点
本菌特征:分枝状的丝状菌体,无芽胞,触酶试验阳性,弱抗酸染色阴性,动力试验阳性。
(五)刚果嗜皮菌药敏试验的药物种类选择
CLSI M24-A2及CLSI M45-A3文件未推荐该菌药敏试验的药物选择。
(六)刚果嗜皮菌结果解释与要点提示
刚果嗜皮菌感染患者应采集瘢痕组织进行检验。
五、隐秘杆菌属与溶血隐秘杆菌(A. haemolyticum)
隐秘杆菌属目前属内有11个种,包括溶血隐秘杆菌(A. haemolyticum)、海豹隐秘杆菌(A. hippocoleae)、多动物隐秘杆菌(A. phocae)、A. pluranimalium、A. bialowiezense、A. bonasi、犬隐秘杆菌(A. canis)等,其中与医学有关的主要为溶血隐秘杆菌(A. haemolyticum),以前称溶血棒杆菌。化脓隐秘杆菌和伯尔德隐秘杆菌已从隐秘杆菌属中分出,成立一个新的属(储珀菌属 Trueperella)。
溶血隐秘杆菌(A. haemolyticum)
(一)溶血隐秘杆菌形态与染色
革兰染色阳性,细长、不规则杆菌,(0.3~0.8) μm×(1.0~5.0) μm。幼龄菌细胞具棒状末端,有时排列成V字形,但无丝状体;陈旧培养物菌体断裂成短的不规则杆状和球状。无动力,无芽胞(图 8)。

图 8溶血隐秘杆菌纯培养的镜下形态(革兰染色)
(二)溶血隐秘杆菌培养特性
在血琼脂平板上35℃培养48 h后,形成直径0.5 mm大小、凸起、半透明、β溶血的菌落,可有粗糙型和光滑型两种菌落形态(图 9)。

图 9溶血隐秘杆菌在血琼脂平板上的菌落特征(48h)
(三)溶血隐秘杆菌生化反应
触酶试验阴性,反向CAMP试验阳性,主要生化反应见表 7。
| 试验 | 结果 | 试验 | 结果 |
|---|---|---|---|
| 触酶 | – | 蔗糖 | V |
| 乳糖 | + | 碱性磷酸酶 | – |
| 果糖 | – | 半乳糖苷酶 | + |
| 糖原 | – | 明胶 | – |
| 阿拉伯醇 | – | 马尿酸盐 | – |
注:+,90%以上菌株阳性;–,90%以上菌株阴性;V,结果不定
(四)溶血隐秘杆菌鉴别要点
1. 本菌特征:革兰阳性无芽胞杆菌,在血平板上37℃培养48 h,菌落周围出现β溶血环,无动力,发酵葡萄糖,触酶试验阴性,反向CAMP试验阳性(图 10)。

图 10溶血隐秘杆菌的反向CAMP试验结果(培养5日)
注意:溶血隐秘杆菌可产生磷脂酶D,可完全抑制金黄色葡萄球菌(ATCC 25923)的β溶血素对红细胞的溶解作用,所以待检菌与金黄色葡萄球菌交界处的抑制溶血区呈三角形,相当于正向的CAMP试验,结果是反向的,所以也称为CAMP抑制试验阳性,或者反向CAMP试验阳性。
2. 与化脓储珀菌的鉴别:溶血隐秘杆菌呈反向的CAMP反应(这是鉴定的要点),不分解明胶,而化脓储珀菌的反向CAMP反应阴性,明胶试验阳性。
3. 与伯尔德储珀菌的鉴别:溶血隐秘杆菌分解乳糖,碱性磷酸酶阳性,而伯尔德储珀菌则相反。
4. 溶血隐秘杆菌和其他无芽胞革兰阳性杆菌的鉴别见表 8。
| 菌名 | 触酶 | 动力 | 七叶苷 | 乳糖 | 木糖 | 反向CAMP | H₂S |
|---|---|---|---|---|---|---|---|
| 溶血隐秘杆菌 | – | – | – | + | – | + | – |
| 化脓储珀菌 | – | – | – | + | + | – | – |
| 棒杆菌属 | + | – | – | – | – | ND | – |
| 产单核细胞李斯特菌 | + | + | + | V | – | ND | – |
| 猪红斑丹毒丝菌 | – | – | – | + | – | ND | + |
注:+,90%以上菌株阳性;–,90%以上菌株阴性;V,结果不定;ND,无资料
(五)溶血隐秘杆菌药敏试验的药物种类选择
药敏试验的药物种类选择依据见表 9。
| 抗菌药物名称 | |
|---|---|
| 必选 | 青霉素、庆大霉素、红霉素、万古霉素 |
| 可选 | 头孢吡肟、头孢噻肟、头孢曲松、美罗培南、达托霉素、环丙沙星、多西环素、四环素、克林霉素、复方磺胺甲噁唑、利福平、利奈唑胺、奎奴普丁-达福普汀 |
注:上述药敏试验所选药物仅有MIC判读折点,具体参照CLSI M45 - A3文件
(六)溶血隐秘杆菌结果解释与要点提示
(1)溶血隐秘杆菌是人和家禽的专性寄生菌,能引起咽喉炎、扁桃体化脓或皮肤坏死,溶血隐秘杆菌可引起大龄儿童咽炎、伤口及软组织感染、骨髓炎、心内膜炎等。不同菌落特征与感染类型有关,呼吸道感染多为粗糙型菌落,深部组织感染往往是光滑型菌落。
(2)治疗一般选用红霉素、青霉素、第一代头孢菌素或万古霉素等抗菌药物,对复方磺胺甲噁唑耐药。
(3)溶血隐秘杆菌药物治疗选择见表 10。
| 首选 | 次选 | 其他有效药物 |
|---|---|---|
| 红霉素、阿奇霉素、红霉素 | 苄星青霉素G、克林霉素、青霉素 | 对多数药物敏感、对TMP - SMX耐药 |
注:具体参照《热病:桑福德抗微生物治疗指南》(新译第44版)、《国家抗微生物治疗指南》推荐
参考文献
周庭银, 章强强 主编. 临床微生物学诊断与图解(第4版)[M]. 上海: 上海科学技术出版社, 2019.
相关产品
HZB219169:绛红小单孢菌 | Micromonospora purpurea
HZB908019:刚果嗜皮菌 | Dermatophilus congolensis
HZB368077:溶血隐秘杆菌 | Arcanobacterium haemolyticum
敬请关注灰藻生物,共筑健康未来!
— 武汉市灰藻生物科技有限公司团队敬上
灰藻生物:我们期待着与客户共同成长,共创生命科学的美好未来!
更新日期:2026-02-27
编制人:木木
审稿人:小藻