着色菌科的分类、系统发育与生态生理特性研究(二)(第二卷 变形菌门 Part B, Page 33))
来源:武汉市灰藻生物科技有限公司 浏览量:250 发布时间:2025-09-10 10:15:15
上一章节我们介绍了,着色菌目的分类与生物学特性、着色菌科与外硫红螺菌科的鉴别特征及光养细菌的鉴别与分类(一),
本章节继续介绍
一、形态与生理特征
1.细胞形态
细胞呈球形、卵圆形、弧状、螺旋形或杆状,通过二分裂繁殖,部分种类含有气泡结构(gas vesicles)。运动型个体具单极鞭毛(monotrichous)或多极鞭毛(multitrichous),亦存在非运动型。
2.细胞结构
革兰氏染色:阴性
系统分类:属于γ-变形菌纲(Gammaproteobacteria)
光合膜系统:
与细胞质膜相连的内膜结构,多数物种为囊泡型;
少数物种具管状内膜 或片层结构。

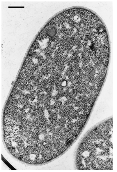
图1凝胶状硫囊菌(Thiocystis gelatinosa)DSM 215菌株细胞的超薄切片,显示其内部光合膜为大量均匀分布于整个细胞的小囊泡。比例尺为1微米(由H.G. Tru¨per和J.B. Waterbury提供)

图2 芬尼氏硫球菌(Thiococcus pfennigii)9111菌株细胞的超薄切片,显示管状内部光合膜的纵切面与横切面结构。比例尺为0.5微米(由H.G. Trüper和J.B. Waterbury提供)
3.光合色素组成
3.1核心色素
细菌叶绿素a或b
类胡萝卜素(主要为螺旋黄素类、奥酮类或玫红醛类)
偶见其他类胡萝卜素(如四氢螺旋黄素)
3.2菌落显色特征
表1.类胡萝卜素类群的菌落颜色
| 类胡萝卜素类群 | 菌落颜色 |
|---|---|
| 螺旋黄素类群 | 橙棕至棕红色或粉红色 |
| 奥酮类群 | 紫红色 |
| 玫红醛类群 | 紫罗兰色 |
二、生理代谢特性
1.光能自养生长
在无氧光照条件下,所有物种均能以硫化氢(H₂S)或单质硫(S⁰)为电子供体进行光能无机自养(photolithoautotrophic)生长。
2.硫代谢特征
S⁰颗粒作为中间氧化产物累积于细胞内;
多数物种可在还原性培养条件下利用氢气(H₂)作为电子供体;
部分物种可利用还原态铁离子(Fe²⁺)。
3.混合营养潜力
所有物种均具备混合营养(mixotrophic)能力,可光同化多种简单有机物。
4.优先利用底物:乙酸(acetate)和丙酮酸(pyruvate)。
5.特殊代谢模式
部分物种可在无硫条件下光同化有机物;
部分物种能进行光能有机异养(photoorganoheterotrophic)生长。
6.氧适应性分化
严格厌氧型:专性光养(obligately phototrophic)
兼性代谢型:可在微氧至有氧的黑暗环境中通过化能无机自养(chemolithoautotrophic)或化能有机异养(chemoorganoheterotrophic)方式生长
三、生化途径与储存物质
1.碳固定途径
所有测试物种均通过磷酸戊糖还原循环(reductive pentose phosphate cycle)同化CO₂。
2.固氮能力
多个物种已证实具有二氮(N₂)固定能力。
3.储存物质
多糖
聚-β-羟基丁酸酯(PHB)
单质硫(S⁰)
聚磷酸盐
部分物种需外源维生素B₁₂
四、生态分布
着色菌科广泛分布于以下光照、无氧,且含硫化物的水生环境及沉积物中:
1.潮湿泥壤、沟渠、池塘、湖泊、河流
2.硫磺泉、河口、海洋生境
3.盐湖及苏打湖
五、分子特征
DNA碱基组成:GC含量45.5–70.4 mol%
模式属:
着色菌属(Chromatium)最初由Perty于1852年描述经Imhoff、Süling和Petri于1998年修订
六、分类学评注
在《伯杰氏系统细菌学手册》第八版中,着色菌科(Chromatiaceae)曾被描述为包含外硫红螺菌属(Ectothiorhodospira)——一类在细胞外形成硫颗粒的紫色硫细菌。随着外硫红螺菌科(Ectothiorhodospiraceae)的建立以及着色菌科(Bavendamm 1924年命名)的修订描述,着色菌科现专指那些能够在细胞内沉积硫颗粒的光养硫细菌。这一定义与Molisch对"硫红菌科(Thiorhodaceae)"的原始描述相符,并得到了系统发育研究的支持。
传统上,包括着色菌科在内的光养紫色细菌分类完全基于表型特征。直到近年,关于着色菌科的分子生物学信息仍十分有限,仅包括部分物种的rRNA寡核苷酸数据和少量16S rDNA序列。过去几年间,大多数着色菌科物种的完整16S rDNA序列已被测定。但截至本稿撰写时,仍有多个紫色硫细菌模式菌株的16S rDNA序列尚未测定或公开,包括:
魏氏着色菌(Chromatium weissei)
耶拿硫螺旋菌(Thiospirillum jenense)
优雅网硫菌(Thiodictyon elegans)
杆状网硫菌(Thiodictyon bacillosum)
中度喜盐闪光杆菌(Lamprobacter modestohalophilus)
玫瑰板硫菌(Thiopedia rosea)
七、系统发育与分类学新见解
7.1系统发育分支
16S rDNA序列分析结果表明,着色菌科存在三个显著分化的系统发育分支:
1.海洋与嗜盐物种分支
包含严格适应高盐环境的物种
2.极生鞭毛运动型淡水物种分支
特征:
通过极生鞭毛运动
不具气泡结构
主要分布于淡水生境
3.卵圆至球形细胞淡水物种分支
特征:
多数为非运动型(仅玫瑰闪光囊菌Lamprocystis roseopersicina例外)
多数含气泡结构
主要栖息于淡水,部分可生存于半咸水或海洋环境
7.2传统分类与分子系统学的冲突
系统发育关系与传统分类体系存在显著不一致,因此提出基于以下原则的重新分类方案:
核心依据:16S rDNA序列相似性
辅助标准:精选的表型特征
相关性验证:当特定表型特征与16S rDNA相似度呈正相关时,该特征被视为构建系统发育分类体系的重要指标
7.3生态适应对系统发育的影响
细菌在特定自然环境中(如极端温度、盐度或pH)进化,形成独立的系统发育谱系。盐度适应性是着色菌科主要分支的划分标准:反映海洋与淡水环境的独立进化历程。已被证明适用于:
紫色非硫细菌(如Rhodovulum与Rhodobacter属的区分,Hiraishi和Ueda,1994)
外硫红螺菌科(如Halorhodospira与Ectothiorhodospira属的划分,Imhoff和Süling,1996)
螺旋形紫色非硫α-变形菌(原Rhodospirillum属物种,Imhoff等,1998b)
7.4着色菌科的系统分类学进展
7.4.1基于盐度适应性的属级划分
通过系统发育关系和盐度响应特征,着色菌科可明确区分以下类群(均曾归类于着色菌属Chromatium):
嗜盐类群:盐着色菌属(Halochromatium)
海洋类群:海着色菌属(Marichromatium)
淡水类群:异着色菌属(Allochromatium)
7.4.2渗透调节物质的分类学价值
着色菌科与外硫红螺菌科通过积累不同的相容性溶质适应渗透压。
表2.着色菌科与外硫红螺菌科不同科属的主要相容性溶质
| 科名 | 主要相容性溶质 | 代表性物种 |
|---|---|---|
| 外硫红螺菌科 | 四氢嘧啶(ectoine)、海藻糖(trehalose)、甘氨酸甜菜碱(glycine betaine) | Ectothiorhodospira、Halorhodospira |
| 着色菌科(淡水) | 蔗糖(sucrose,低相容性) | Allochromatium vinosum、Thiocystis violacea、Thiocapsa roseopersicina |
| 着色菌科(盐环境) | 甘氨酸甜菜碱为主,辅以蔗糖和N-乙酰-谷氨酰谷氨酰胺 | Halochromatium salexigens、Thiohalocapsa halophila、Marichromatium purpuratum |
7.4.3形态特征的系统发育意义
尽管细胞形态学意义有限,但仍可观察到以下规律:
运动型类群:单细胞、无气泡结构(如Chromatium和Allochromatium)
非运动型类群:球形/卵圆形细胞、多数含气泡(如Thiocapsa和Thiolamprovum,仅Lamprocystis roseopersicina例外)
7.4.4DNA碱基组成的分类学启示
着色菌科GC含量(45.5-70.4 mol%)原显示过大跨度,经16S rDNA序列重组后,新确立各属的GC范围显著收窄(见表3)。
表3. 着色菌科部分属的GC含量与系统发育分类
| 属名 | GC含量(mol%) | 系统发育一致性 |
|---|---|---|
| Thiocapsa类群 | 63–66 | 包含Thiocapsa、Lamprocystis、Thiolamprovum |
| Marichromatium | 69–70 | 海洋适应物种 |
| Halochromatium | 64–66 | 嗜盐物种 |
| 狭义Chromatium | 48–50 | 基础淡水类群 |
异常案例:
Allochromatium vinosum(61.3-66.3)、A. warmingii(55.1-60.2)和Thiocystis violacea(62.8-67.9)的种内GC变异提示部分菌株可能存在分类错误,需进一步验证。
7.4.5脂质成分在着色菌科分类中的价值
1.脂肪酸与醌类的局限性
尽管脂肪酸和醌类组成在α-和β-变形菌纲紫色非硫细菌分类中具有重要作用,但其在着色菌科内的变异程度较低,分类学价值有限。
2.极性脂质的分类学潜力
现有研究表明极性脂质可能成为着色菌科属级分类的新指标:
关键发现(基于淡水物种初步分析):
Allochromatium vinosum与A. warmingii具有相同极性脂质谱
四种Thiocystis物种间成分高度一致
两种Chromatium物种间成分高度一致(Imhoff未发表数据)
进化意义:
极性脂质组成与系统发育关系呈现相关性
该特征在进化过程中表现出高度保守性
研究缺口:
目前仅少数着色菌科物种完成极性脂质分析
需扩大样本量验证该分类标准的普适性
7.4.6生理特性在分类学中的价值与局限
7.4.6.1保守性与分化性并存
尽管着色菌科成员在硫源利用和有机碳源选择上表现出高度保守性(所有物种均能以硫化氢或单质硫为电子供体进行无氧光能自养生长),但其生理特性仍呈现显著分化,可分为两大功能类群:
1. 专能型物种(Specialized species)
严格厌氧:专性光养,完全依赖硫化氢(不能利用硫代硫酸盐或氢气)
碳源限制:仅能光同化乙酸和丙酮酸(或丙酸)
代谢缺陷:
不能以有机物为电子供体
无法进行化能生长
不能同化硫酸盐
代表物种:
Chromatium okenii、C. weissei Allochromatium warmingii、Isochromatium buderi Thiospirillum jenense、Thiococcus pfennigii
2. 广适型物种(Versatile species)
代谢多样性:
可光同化多种有机底物
多数能在无还原硫条件下以有机物为光合电子供体
可同化硫酸盐作为唯一硫源
部分物种具备化能自养或异养能力
代表物种:
Allochromatium vinosum、Thiocystis violacea Thiocapsa roseopersicina、T. rosea、T. pendens Lamprobacter modestohalophilus
7.4.6.2环境调控的形态可塑性
所有物种均能根据自然环境或培养条件改变生长形态:
1.单细胞态与粘液包裹的细胞聚集体可相互转换。
2.关键调控因子(基于Winogradsky 1888年经典实验)。
表4.光照与硫化氢浓度对着色菌科运动性的调控效应
| 条件 | 对运动性的影响 |
|---|---|
| 高硫化氢(2-4 mM) | 所有鞭毛菌形成粘液包裹的固定聚集体 |
| 强光照(2000-4000 lux) | 促进聚集态形成 |
| 弱光照(100-200 lux) | 维持运动态所需硫化氢浓度阈值升高 |
注:种间差异:不同物种对光照/硫化氢组合的响应阈值存在特异性(见表4)
7.4.6.3分类学启示:
纯培养鉴定需严格控制上述环境参数,以避免运动性等表型特征的误判。
八、着色菌科各属的鉴别特征
8.1着色菌科的分类类群
根据系统发育和生理特性,着色菌科可分为以下三大类群:
1. 嗜盐及需盐类群
主要特征:
严格依赖高盐环境
包含以下属:
Thiorhodovibrio、Marichromatium、Isochromatium、Rhabdochromatium、Thiohalocapsa、Halochromatium、Thiorhodococcus、Thiococcus、Thioflavicoccus、Thioalkalicoccus
2. 非运动型淡水类群
主要特征:
细胞呈球形或杆状,无鞭毛
多数含气泡结构(gas vesicles)
主要分布于淡水环境
包含以下属:
Thiocapsa、Lamprocystis、Thiolamprovum
3. 运动型淡水类群
主要特征:
具极生鞭毛,可运动
无气泡结构
主要分布于淡水环境,部分可耐受低盐
包含以下属:
Chromatium、Allochromatium、Thermochromatium、Thiocystis
8.2着色菌科的分类学关键点与工具
8.2.1分类学关键点
盐适应性分化:
嗜盐类群严格依赖高盐,而淡水类群仅需微量盐分或无特殊需求。
运动性差异:
运动型类群(如Chromatium)依赖鞭毛,而非运动型类群(如Thiocapsa)多形成聚集体。
气泡结构分布:
主要存在于非运动型淡水类群,运动型类群通常缺失。
8.2.2分类学工具
表型特征:详见 表5、表6、表7。
系统发育关系:参见图1和图2见(一)。
表5.常见于淡水生境、无气泡囊运动型着色菌科的鉴别特征a
| 特征 | Chromatium okenii | Chromatium wieseii | Allochromatium vinosum | Allochromatium minutissimum | Allochromatium warmingii | Thermochromatium tepidum | Thiocystis violacea | Thiocystis gelatinosa | Thiosisa minor | Thiosisa violascens | Thiosipillum jenense |
|---|---|---|---|---|---|---|---|---|---|---|---|
| 细胞形状 | 杆状 | 杆状 | 杆状 | 杆状 | 杆状 | 球形 | 球形 | 杆状 | 杆状 | 杆状 | 螺旋形 |
| 细胞大小(μm) | 4.5-6.0×8.0-16.0 | 3.5-4.5×7.0-14.0 | 2.0×2.5-6.0 | 1.0-1.2×2 | 3.5-4.0×5.0-11.0 | 1.0-2.0×2.8-3.2 | 2.5-3.0 | 3 | 2.5-6.0 | 2.5-6.0 | 2.5-4.5×30-40 |
| 鞭毛运动性 | + | + | + | + | + | + | + | + | + | + | + |
| 细胞悬浮液颜色b | Pur | Pur | Br | Br | Puv | R | Puv | Pur | Pur | Puv | Ob |
| 类胡萝卜素组 | ok | ok | sp | sp | ra | sp | ra | ok | ok | ra | ra |
| DNA中G+C的摩尔百分比 | 48 | 48 | 61.3-66.3 | 63.7 | 55.1-60.2 | 61.5 | 62.8-67.9 | 61.3 | 62.2 | 61.8-64.3 | 45.5 |
| Bi2需求 | + | + | + | + | + | + | + | + | + | + | + |
| 硫酸盐同化 | - | - | + | + | + | nd | ± | - | + | + | - |
| 化学营养生长 | - | - | + | + | + | - | + | + | + | + | - |
| pH最优值 | 7 | 7 | 7.0-7.3 | 7.0-7.3 | 7 | 7 | 7.0-7.3 | 7.0-7.3 | 7.0-7.3 | 7.0-7.3 | 7 |
| 温度最优值(℃) | 20-35 | 20-35 | 25-35 | 25-35 | 25-30 | 48-50 | 25-35 | 30 | 30 | 25-35 | 20-25 |
| 盐需求 | none | none | nonec | none | none | none | 0-2% | 0-1% | none | none | none |
| 使用的底物:氢气 | - | - | + | + | - | - | - | nd | nd | + | nd |
| 硫化物 | + | + | + | + | + | + | + | + | + | + | nd |
| 亚硫酸盐 | - | - | + | + | - | - | - | + | + | + | nd |
| 硫 | + | + | + | + | + | + | + | + | + | + | nd |
| 硫酸盐 | - | - | + | + | nd | - | ± | - | nd | + | nd |
| 甲酸盐 | - | - | + | + | - | - | nd | nd | - | + | nd |
| 醋酸盐 | + | + | + | + | + | + | + | + | + | + | + |
| 丙酮酸 | + | + | + | + | + | + | + | + | + | + | nd |
| 丙酸盐 | - | - | + | + | nd | - | ± | - | + | ± | nd |
| 丁酸盐 | - | - | ± | ± | - | - | nd | nd | - | ± | nd |
| 乳酸盐 | - | - | nd | nd | - | nd | - | nd | nd | - | nd |
| 富马酸盐 | - | - | + | + | - | + | - | - | - | - | nd |
| 琥珀酸盐 | - | - | + | + | - | ± | - | - | - | - | nd |
| 苹果酸盐 | - | - | + | + | - | nd | nd | - | - | - | nd |
| 果糖 | - | - | - | - | - | ± | - | - | - | - | nd |
| 葡萄糖 | - | - | - | - | - | ± | - | + | - | - | nd |
| 乙醇 | - | - | - | - | - | nd | - | - | - | - | nd |
| 丙醇 | - | - | - | - | - | nd | ± | - | - | - | nd |
| 甘油 | - | - | - | - | - | nd | - | - | - | - | nd |
注释:
a 符号:+表示大多数菌株为阳性;-表示大多数菌株为阴性;±表示可变;nd表示未确定;ok表示okeonone;sp表示spirilloxanthin;ra表示rhodopinal。
b Br表示棕色红;Ob表示橙棕;Pur表示紫色红;Puv表示紫色紫;R表示红色。
c 海洋菌株可能耐受低浓度的NaCl。
表6.典型海洋性与嗜盐性着色菌科的鉴别特征a
| 特征 | Lamprostictus modesthalophilis | Lamprostictus roseopersicina | Lamprostictus purpurivora | Thiocapsa roseopersicina | Thiocapsa rosa | Thiorhodospira pedrana | Thiorhodospira elegans | Thiocystis belliformis | Thiocystis polymorpha | Thiopedia rosea |
|---|---|---|---|---|---|---|---|---|---|---|
| 细胞形状 | 卵形至杆状 | 球形 | 球形 | 球形 | 球形 | 球形 | 杆状 | 杆状 | 球形 | 球形 |
| 运动性 | + | + | - | - | - | - | - | - | - | - |
| 细胞直径(μm) | 2.0-2.5 | 2.0-3.5 | 1.9-2.3 | 1.2-3.0 | 2.0-3.0 | 1.5-2.0 | 1.5-2.0 | 1.5-2.0 | 2 | 2.0-2.5 |
| 气囊 | + | + | + | + | + | - | - | - | - | + |
| 聚集形态:细胞簇 | + | + | + | + | + | + | + | + | + | + |
| 不规则聚集物 | + | + | + | + | + | + | + | + | + | + |
| 不规则团块 | + | + | + | + | + | + | + | + | + | + |
| 不规则网状聚集物 | + | + | + | + | + | + | + | + | + | + |
| 平板 | + | + | + | + | + | + | + | + | + | + |
| 四联体 | + | + | + | + | + | + | + | + | + | + |
| 细胞悬浮液颜色b | Pur | Pv | Pur | P, Rr | P, Rr | Puv | Puv | Puv | P, Rr | Pur |
| 类胡萝卜素组 | ok | ra | ok | sp | sp | ra | ra | ra | sp | ok |
| DNA中G+C的摩尔百分比 | 60-64 | 63.8 | 63.5-63.6 | 63.5-66.3 | 64.3 | 65.3 | 65.5-66.3 | 66.3 | 65.5 | 62.5-63.5 |
| 生物素需求 | + | nd | nd | + | + | nd | nd | nd | nd | + |
| 硫酸盐同化 | - | nd | - | + | - | nd | nd | nd | - | - |
| 化能自养生长 | + | - | + | - | - | - | - | - | + | - |
| pH最佳值 | 7.4-7.6 | 7.0-7.3 | 7.0-7.3 | 7.3 | 6.7-7.5 | 6.7-7.5 | 6.7-7.3 | 6.7-7.3 | 7.4-7.6 | 7.3-7.5 |
| 温度最佳值(℃) | 25-27 | 20-30 | 23-25 | 20-35 | 20-35 | 20-35 | 20-35 | 20-30 | 37 | 20 |
| NaCl最佳浓度(%) | 1月4日 | 无 | 无 | 无* | 无 | 无 | 无 | 无 | 无 | 无 |
| 使用的底物:氢气 | + | nd | - | - | - | - | nd | nd | - | - |
| 硫化物 | + | + | + | + | + | + | + | + | + | + |
| 亚硫酸盐 | + | nd | + | + | + | + | nd | nd | + | + |
| 硫 | + | + | + | + | + | + | + | + | + | + |
| 甲酸盐 | - | nd | - | - | - | - | nd | nd | - | - |
| 醋酸盐 | + | + | + | + | + | + | + | + | + | + |
| 丙酮酸 | + | + | + | + | + | + | + | + | + | + |
| 丙酸盐 | - | nd | - | - | - | - | nd | nd | - | - |
| 丁酸盐 | nd | nd | - | - | - | - | nd | nd | - | - |
| 乳酸盐 | + | nd | + | ± | + | + | nd | nd | + | - |
| 琥珀酸 | - | nd | - | - | - | - | nd | nd | - | ± |
| 苹果酸 | - | nd | - | - | ± | + | nd | nd | - | ± |
| 果糖 | - | nd | - | - | - | - | nd | nd | - | ± |
| 葡萄糖 | nd | nd | + | - | - | + | nd | nd | - | + |
| 乙醇 | + | nd | - | - | - | nd | nd | nd | - | - |
| 丙醇 | + | nd | - | - | - | nd | nd | nd | - | - |
| 甘油 | + | nd | - | + | - | nd | nd | nd | - | - |
| 甘油酸 | nd | nd | - | nd | nd | nd | nd | nd | - | - |
| 克罗通酸 | nd | nd | - | nd | nd | nd | nd | nd | - | - |
| 戊酸 | nd | nd | - | nd | nd | nd | nd | nd | - | - |
| 复合氨基酸 | nd | nd | - | nd | nd | - | nd | nd | - | - |
符号说明:+,大多数菌株为阳性;–,大多数菌株为阴性;±,可变;(+)弱生长;nd,未测定;P,粉色;Pr,粉红色;Rr,玫瑰红色;Puv,紫罗兰色;Br,棕红色;Pur,紫红色;B,米色;Ob,橙棕色;Yb,黄棕色;Bo,棕橙色;ok,奥酮;sp,螺旋菌红素;ra,玫红醛;ths,四氢螺旋菌红素。
表7.淡水生境中非运动性含气泡着色菌科的鉴别特征 a(包括运动性菌种:桃红闪囊菌(Lamprocystis roseopersicina)和适盐闪杆菌(Lamprobacter modestohalophilus))
| 特征 | Lamprobacter modestohalophilus | Lamprocystis roseopersicina | Lamprocystis purpurea | Thiopoa roseopersicina | Thiopoa rosa | Thioscapha pendens | Thiodictyon elongans | Thiodictyon bardillonii | Thioalcalivorum petoforme | Thiotricha rosa |
|---|---|---|---|---|---|---|---|---|---|---|
| 细胞形状 | 卵形至杆状 | 球形 | 球形 | 球形 | 球形 | 球形 | 杆状 | 杆状 | 球形 | 球形 |
| 运动性 | + | - | - | - | - | + | + | + | + | + |
| 细胞直径(μm) | 2.0-2.5 | 2.0-3.5 | 1.9-2.3 | 1.2-3.0 | 2.0-3.0 | 1.5-2.0 | 1.5-2.0 | 1.5-2.0 | 2 | 2.0-2.5 |
| 气泡囊 | + | + | - | - | - | + | + | + | + | + |
| 聚集形态:细胞簇 | + | + | + | + | + | + | + | + | + | + |
| 不规则聚集物 | + | + | + | + | + | + | + | + | + | + |
| 不规则网状聚集物 | - | - | - | - | - | - | - | - | - | + |
| 四联体 | - | - | - | - | - | - | - | - | + | + |
| 细胞悬浮液颜色b | Pur | Pv | Pur | ok | P, Rr | P, Rr | Puv | Puv | P, Rr | Pur |
| 类胡萝卜素组 | ok | ra | ok | sp | sp | sp | ra | ra | sp | ok |
| DNA中G+C的摩尔百分比 | 60-64 | 63.8 | 63.5-63.6 | 63.3-66.3 | 64.3 | 65.3 | 65.3-66.3 | 66.3 | 66.5 | 62.5-63.5 |
| Bi2需求 | + | nd | nd | - | - | + | + | nd | nd | - |
| 硫酸盐同化 | - | - | - | + | + | + | + | nd | - | - |
| 化学营养生长 | - | - | + | + | + | + | + | + | + | - |
| pH最优值 | 7.4-7.6 | 7.0-7.3 | 7.0-7.3 | 7.3 | 6.7-7.5 | 6.7-7.5 | 6.7-7.5 | 6.7-7.5 | 7.4-7.6 | 7.3-7.5 |
| 温度最优值(℃) | 25-27 | 20-30 | 23-25 | 20-35 | 20-35 | 20-35 | 20-35 | 20-35 | 20-30 | 37 |
| NaCl最优浓度(%) | 1-4 | none | none | nonec | none | none | none | none | none | none |
| 使用的底物:氢气 | nd | nd | - | + | + | + | + | + | nd | - |
| 硫化物 | + | + | + | + | + | + | + | + | + | + |
| 亚硫酸盐 | + | + | + | + | + | + | + | + | + | + |
| 硫 | + | + | + | + | + | + | + | + | + | + |
| 硫酸盐 | + | nd | + | - | - | - | nd | nd | + | - |
| 甲酸盐 | - | - | nd | - | - | - | - | nd | nd | - |
| 醋酸盐 | + | + | + | + | + | + | + | + | + | + |
| 丙酮酸 | + | + | + | + | + | + | + | + | + | + |
| 丙酸盐 | - | nd | + | ± | + | + | + | nd | + | + |
| 丁酸盐 | nd | nd | - | - | - | - | nd | nd | - | - |
| 乳酸盐 | + | nd | + | + | + | + | + | nd | + | - |
| 富马酸盐 | - | nd | - | + | - | - | nd | nd | ± | ± |
| 琥珀酸盐 | - | nd | - | - | - | - | nd | nd | - | - |
| 苹果酸盐 | - | nd | - | ± | + | + | nd | nd | ± | ± |
| 果糖 | - | nd | - | + | - | + | nd | nd | - | + |
| 葡萄糖 | nd | nd | + | - | - | + | nd | nd | + | + |
| 乙醇 | + | nd | + | - | - | nd | nd | nd | - | + |
| 丙醇 | + | nd | - | - | - | nd | nd | nd | - | - |
| 甘油 | + | nd | - | + | - | - | nd | nd | - | - |
| 甘油酸 | nd | nd | - | - | - | nd | nd | nd | - | - |
| 克罗托酸 | nd | nd | - | nd | nd | nd | nd | nd | - | - |
| 瓦伦酸 | nd | nd | - | - | - | nd | nd | nd | - | - |
| 酪蛋白酸 | nd | nd | nd | nd | nd | nd | nd | nd | - | + |
注释:
a 符号:+表示大多数菌株为阳性;-表示大多数菌株为阴性;±表示可变;nd表示未确定;ok表示okeonone;sp表示spirilloxanthin;ra表示rhodopinal。
b Pv表示粉红色;Pur表示紫色红;Puv表示紫色紫;Pv表示粉红色紫;Rr表示玫瑰色。
c 海洋菌株可能耐受低浓度的NaCl。
参考文献
1.Imhoff, J.F. 1992. Taxonomy, phylogeny and general ecology of anoxygenic phototrophic bacteria. In Carr, and Mann (Editors), Biotechnology Handbook for Photosynthetic Prokaryotes, Plenum Press, London, New York. p. 83–92.
2.Imhoff, J.F., Su¨ling, J. and Petri, R. 1998. Phylogenetic relationships among the Chromatiaceae, their taxonomic reclassification and description of the new genera Allochromatium, Halochromatium, Isochromatium, Marichromatium, Thiococcus, Thiohalocapsa, and Thermochromatium. Int. J. Syst. Bacteriol. 48: 1129–1143.
3.Molisch, H. 1907. Die Purpurbakterien nach neuen Untersuchungen, G.Fischer, Jena. p. 1–95.
4.Pfennig, N. 1967. Photosynthetic bacteria. Annu. Rev. Microbiol. 21: 285–324.
5.Pfennig, N. 1977. Phototrophic green and purple bacteria: a comparative,systematic survey. Annu. Rev. Microbiol. 31: 275–290.
6.Winogradsky, S. 1888. Beitra¨ge zur Morphologie und Physiologie der Bakterien. Heft 1. Zur Morphologie und Physiologie der Schwefelbakterien, Arthur Felix, Leipzig. p. 1–120.
# 翻译自:Bergeys Manual of Systematic Bacteriology (Garrity, Berner, Creig) . Volume Two:The Proteobacteria Part B The Gammaproteobacteria. (Order I. Chromatiales)
敬请关注“灰藻视界”,共筑健康未来!
— 武汉市灰藻生物科技有限公司团队敬上
灰藻生物:我们期待着与客户共同成长,共创生命科学的美好未来!
更新日期:2025-09-09
编制人:思琪
审稿人:小藻